くまとり治療は怖い?本当のダウンタイム
くまとり治療のダウンタイムが不安な方へ。腫れ・内出血・痛みの実際の経過を、術後直後から3ヶ月まで写真付きで詳しく解説。仕事復帰のタイミングや過ごし方のコツまで、経験豊富な医師が本音でお伝えします。
当院スタッフを手術してみた
「くまとり治療に興味はあるけれど、ダウンタイムが怖くて踏み切れない…」そんな悩みを抱えている方は少なくありません。
インターネットで検索すると「腫れがひどかった」「内出血が2週間消えなかった」といった体験談も目にして、余計に不安になってしまいますよね。確かに、くまとり治療は目元という繊細な部位への施術のため、ダウンタイムについて正しく理解しておくことは非常に重要です。
しかし、実際のところダウンタイムの程度は人それぞれ異なりますし、適切なケアをすることで最小限に抑えることも可能です。この記事では、くまとり治療のダウンタイムについて、術後直後から3ヶ月後までの実際の経過を写真とともに詳しく解説します。
「本当はどのくらい腫れるの?」「いつから仕事に行ける?」「痛みはどれくらい?」といった、皆さんが本当に知りたい疑問にお答えしていきます。
くまとり治療のダウンタイムとは?基礎知識
ダウンタイムの定義
ダウンタイムとは、施術後に腫れや内出血などの症状が出ている期間や、日常生活に制限がかかる期間のことを指します。くまとり治療の場合、一般的には以下のような症状が現れることがあります。
- 腫れ(むくみ)
- 内出血(青あざ)
- 痛み・違和感
- 目の下の硬さ
- 赤み
これらの症状は施術の方法や個人の体質によって程度が異なりますが、適切なケアと時間の経過とともに必ず改善していきます。
くまとり治療の主な方法とダウンタイムの違い
くまとり治療には大きく分けて以下の方法があり、それぞれダウンタイムの程度が異なります。
経結膜脱脂法(目の裏側からアプローチ) 目の裏側(結膜側)から余分な脂肪を取り除く方法です。皮膚表面に傷跡が残らないため、ダウンタイムは比較的軽いとされています。ただし、目の下の皮膚にたるみがある場合は、この方法だけでは十分な効果が得られないこともあります。
裏ハムラ法(目の裏側からアプローチ) 目の裏側(結膜側)から余分な脂肪を取り除かないで下にずらす方法です。皮膚表面に傷跡が残らないため、ダウンタイムは比較的軽いとされています。ただし、目の下の皮膚にたるみがある場合は、この方法だけでは十分な効果が得られないこともあります。
切開ハムラ法(目の下の皮膚側からアプローチ) 目の下の皮膚側から切開し、脂肪移動と同時に余分な皮膚やたるみを取り除く方法です。より根本的な改善が期待できる一方、皮膚表面に切開を加えるため、経結膜法と比べるとダウンタイムはやや長めになることが一般的です。
脂肪注入併用 脱脂と同時に、くぼみ部分に脂肪を注入する方法もあります。この場合、脂肪採取部位のダウンタイムも考慮する必要があります。
【写真で見る】術後の経過:直後から3ヶ月まで
ここでは実際の症例写真をもとに、術後の経過を詳しく見ていきましょう。
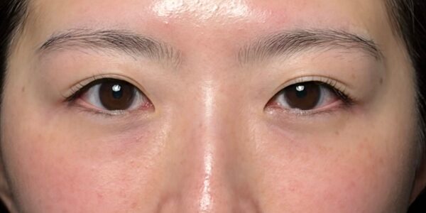
術前:施術前の状態

施術前の状態です。目の下の膨らみやくぼみ、影が気になる状態です。この段階で、どの程度の改善を目指すか、どの施術方法が適しているかを医師と相談します。
術後直後:施術当日の状態

施術直後は麻酔の影響もあり、目元全体にむくみが見られます。この時点では「本当に大丈夫だろうか」と不安になる方も多いのですが、これは一時的なものです。
この時期の特徴
- 目の下全体に腫れが見られる
- まぶたも少し腫れぼったい印象
- 麻酔の影響で感覚が鈍いことがある
- 軽い痛みや違和感を感じる場合がある
過ごし方のポイント
- 処方された痛み止めを適切に服用する
- 冷やしすぎず、安静に過ごす
- 枕を高くして寝る
- アルコールや長時間の入浴は避ける
術後1週間:最も変化が見られる時期

術後1週間が経過すると、腫れのピークは過ぎ、少しずつ落ち着いてきます。人によっては、もうあまり腫れを気にしないタイミングとなります。
この時期の特徴
- 腫れは徐々に引いてくるが、まだ残っている
- 内出血が黄色っぽく変化してくる(治りかけのサイン)
- 目の下に少し硬さを感じることがある
- メイクでカバーできる程度になってくる
過ごし方のポイント
- メイクやコンシーラーで内出血をカバーできる
- サングラスや伊達メガネの活用も効果的
- 激しい運動はまだ控える
- むくみ対策として塩分を控えめにする
多くの方が術後3、4日目にから仕事復帰されています。1週間で経過していればデスクワーク中心の方であれば、マスクやメガネを活用することで、周囲に気づかれずに過ごせることが多いです。
術後1ヶ月:日常生活に支障がなくなる時期

術後1ヶ月が経過すると、ほとんどの腫れや内出血は治まり、日常生活に支障はなくなります。ただし、完成形にはまだ至っていない段階です。
この時期の特徴
- 見た目の腫れや内出血はほぼ消失
- 触ると少し硬さが残っていることがある
- 傷跡は赤みがあるが、徐々に目立たなくなってくる
- 仕上がりの70〜80%程度まで回復
過ごし方のポイント
- 通常の運動や入浴が可能になる
- 傷跡のケア(医師の指示に従う)
- 経過観察のため、定期的な受診が推奨される
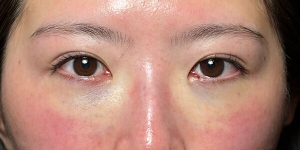
術後3ヶ月:ほぼ完成形に近づく時期

術後3ヶ月が経過すると、ほぼ完成形に近い状態になります。この頃には「手術を受けて本当に良かった」と実感される方がほとんどです。
この時期の特徴
- 腫れや内出血は完全に消失
- 目の下の硬さもほぼなくなる
- 傷跡は細い白い線として残るが、メイクで十分カバー可能
- 自然な仕上がりが実感できる
この時期以降
- 完全な完成は術後6ヶ月程度とされている
- 傷跡はさらに目立たなくなっていく
- 定期的な検診で経過を確認
ダウンタイム中によくある不安と対処法
「思ったより腫れがひどい気がする」
術後数日は、自分で想像していたよりも腫れていると感じることがあります。しかし、これは多くの方が通る道です。
対処法
- 比較対象として、術前の写真を見返す
- 医師に相談する(腫れの程度が正常範囲かどうか確認)
- 焦らず、時間の経過を待つ
「左右差が気になる」
術後しばらくは、左右で腫れ方や内出血の出方が異なることがあります。これは血流やリンパの流れの個人差によるもので、最終的には左右差はほぼ解消されます。
対処法
- 術後1〜3ヶ月は経過を見守る
- 明らかに不自然な左右差がある場合は医師に相談
「内出血がなかなか消えない」
内出血の吸収速度には個人差があります。通常は1〜2週間で目立たなくなりますが、体質によっては3週間程度かかることもあります。
対処法
- メイクやコンシーラーでカバー
- 血行を良くしすぎない(サウナ・激しい運動は控える)
ダウンタイムを最小限にするためのコツ
術前の準備
体調を整えておく 施術の1週間前から、十分な睡眠と栄養バランスの良い食事を心がけましょう。体調が良好な状態で施術を受けることで、回復も早まります。
血行を良くする薬やサプリメントの確認 ビタミンE、イチョウ葉エキス、青魚のオイルなど、血液をサラサラにする成分を含むサプリメントは、術前1週間は控えることが推奨されます。
スケジュール調整 術後数日は外出を控えられるよう、仕事や予定を調整しておきましょう。
術後のケア
冷やしすぎない・温めすぎない 術後24〜48時間は軽く冷やすことで腫れを抑えられますが、冷やしすぎると血行が悪くなり回復が遅れます。また、温めすぎも腫れを助長するため注意が必要です。
頭を高くして寝る 枕を2つ重ねるなどして、頭を高くして寝ることで、むくみの軽減に効果的です。
飲酒・喫煙を控える アルコールは血行を良くしすぎて腫れや内出血を悪化させる可能性があります。喫煙は血流を悪くし、傷の治りを遅らせます。術後最低1週間は控えましょう。
医師の指示を守る 処方された薬は指示通りに服用し、定期的な検診も必ず受けましょう。
仕事復帰のタイミングは?
デスクワーク中心の方
多くの方が術後4〜7日で仕事復帰されています。マスクやメガネを活用すれば、ほとんど気づかれずに過ごせることが多いです。
接客業や人前に出る仕事の方
術後1週間程度は休暇を取ることをおすすめします。内出血がほぼ消え、メイクでカバーしやすくなる時期です。
激しい運動を伴う仕事の方
術後2〜3週間は激しい運動を控える必要があるため、スケジュール調整が必要です。
よくある質問(Q&A)
Q1. ダウンタイム中、どのくらい痛みがありますか?
A. 術後数日は鈍痛や違和感がある程度で、強い痛みを訴える方は少ないです。処方された痛み止めで十分コントロール可能なレベルです。脂肪採取した場合、足のほうが痛みは長引く傾向にあります。
Q2. メイクはいつから可能ですか?
A. 施術方法にもよりますが、一般的には術直後からアイメイク以外は可能になります。ただし、アイメイクは抜糸後(術後1週間程度)から可能になることが多いです。
Q3. コンタクトレンズはいつから使えますか?
A. 術後1週間程度は眼鏡の使用が推奨されます。コンタクトレンズは抜糸後、医師の許可が出てから再開しましょう。
Q4. ダウンタイムが長引く人の特徴はありますか?
A. 皮膚が薄い方、血管が目立ちやすい方、むくみやすい体質の方は、ダウンタイムがやや長引く傾向があります。ただし、最終的な仕上がりには影響しません。
Q5. 施術後に気をつけるべき症状はありますか?
A. 強い痛みが続く、腫れが日に日に悪化する、発熱がある、視力に異常を感じるといった症状があれば、すぐにクリニックに連絡してください。
まとめ
くまとり治療のダウンタイムは、確かに数日から数週間の辛抱が必要です。しかし、適切なケアと正しい知識があれば、最小限に抑えることができます。
ダウンタイムのポイントまとめ
- 術後直後〜1週間が最も腫れや内出血が目立つ時期
- 術後1週間でメイクでカバー可能なレベルに
- 術後1ヶ月でほぼ日常生活に支障なし
- 術後3ヶ月でほぼ完成形に近づく
- 個人差はあるが、適切なケアで最小限に抑えられる
「ダウンタイムが怖い」という気持ちは当然です。しかし、多くの方が「思ったより楽だった」「やって良かった」と感じられています。
当院でのくまとり治療について
当院では、患者様一人ひとりの状態に合わせた、最適なくまとり治療をご提案しています。
ダウンタイムに関する不安や疑問についても、カウンセリングで丁寧にお答えします。術後のフォロー体制も万全で、24時間緊急連絡可能な体制を整えております。
「くまとりに興味はあるけれど、ダウンタイムが不安」という方こそ、まずは無料カウンセリングでご相談ください。実際の症例写真をお見せしながら、あなたに合った施術方法と、具体的なダウンタイムの見通しをご説明いたします。
ご予約はお電話またはウェブサイトの予約フォームから承っております。皆様のご来院を心よりお待ちしております。

執筆
院長 田中 龍二
TANAKA Ryuji
RÉ CLINIQUE SENDAI 院長
元 湘南美容外科 仙台院院長
北海道・東北エリア統括医
累計執刀数 15,000件以上
経歴
2015年
・佐賀大学医学部医学科 卒業
・東京大学医学部附属病院 勤務
2017年
・湘南美容外科 入職
・湘南美容外科 横須賀院 院長 就任
2021年
・湘南美容外科 仙台院 院長 就任
・北海道東北エリア統括 医師 就任
2025年
・RÉ CLINIQUE SENDAI 開院
資格・所属学会
・日本美容外科学会(JSAS)専門医
・VASER 認定医
学会発表
・第113回 日本美容外科学会
クマ治療の他院修正について発表
「皮膚剥離を行わず下眼瞼脂肪に対するアプローチ」